eAnatomy App 是一款专为医疗专业人士及医学生设计的人体解剖图集应用eAnatomy App 以其海量解剖资源、多模态影像技术、智能交互功能,成为医学生、临床医生及影像医生的必备工具。无论是学术研究、临床实践还是日常学习,它均能提供全面支持。若您追求高效解剖学学习体验,这款应用值得推荐。快来本站下载并体验吧!
1.海量解剖资源
收录超过37.5万个解剖结构,涵盖全身各部位(如颞骨岩部CT、骨盆MRI等),提供高清静态图像及动态解剖演示。
支持CT、MRI、X光片、血管造影术、核医学影像等多模态技术,用户可从多维度观察人体结构。
2.智能检索与交互
通过关键词搜索快速定位解剖结构,支持以类别或组别显示/隐藏标签,提升检索效率。
用户可自由缩放、旋转图像,从不同角度观察细节,点击标签获取结构功能详解。
3.多语言支持
提供12种语言版本(含中文),全球用户均可无障碍使用。
4.病例学习模块
集成真实病例影像,帮助用户将理论知识与实践结合,提升诊断能力。
1.精准专业标注
包含超5400个已翻译医学标签,简化复杂术语记忆,辅助用户快速掌握解剖学精髓。
2.跨平台兼容性
支持手机、平板、电脑多终端同步,适配鸿蒙、安卓、Windows系统(iOS暂未覆盖)。
3.个性化学习体验
用户可调整字体大小、背景颜色等显示设置,界面简洁易操作,提升学习舒适度。
4.持续更新优化
定期修复已知问题,更新解剖学研究成果,确保内容时效性与准确性。
1.安装即用
下载安装后直接打开,无需复杂设置。
2.影像检索
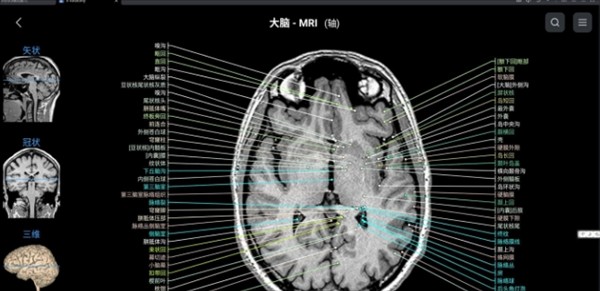
首页展示各部位CT、MRI、血管造影及插画,可通过「种类」或「身体区域」筛选快速定位目标影像(如搜索“脑部CT”)。

高清影像体验
3.CT影像:支持高清缩放,脑部CT细节清晰可辨。

4.MRI:多序列影像覆盖,满足不同诊断需求。

5.X线:常规投照位齐全,骨骼结构一目了然

6.血管造影亮点
动态血管造影显示直观,三维重建辅助理解血管走行

7.解剖图谱补充
如需更精细解剖结构,可搭配软件内人体解剖学图谱使用

1.图像清晰度高,标注专业,被誉为“随身影像解剖图谱”。
2.多模态影像与病例学习结合,显著提升学习效率与临床应用能力。